Tour of Microbes  Tour Home | Disease Home | Microbes A to Z | Bio 203 Home |

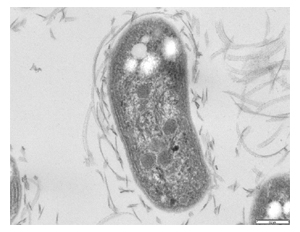
Nitrobacter is a Gram-negative chemolithotroph that oxidizes nitrite (NO2-) to nitrate. Toegther with Nitrosomonas, these bacteria contribute to soil nitrification.
Domain Bacteria
Phylum Proteobacteria
Class a -Proteobacteria
Bergey's Manual Volume 2: The Proteobacteria