Tour of Microbes  Tour Home | Disease Home | Microbes A to Z | Bio 203 Home |

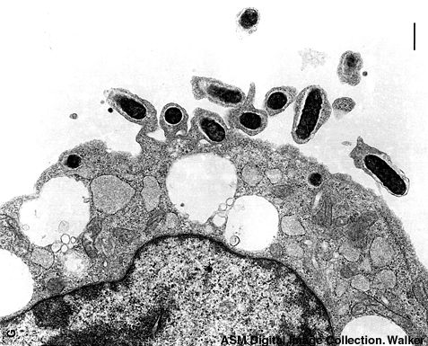
Rickettsias are among the smallest bacteria known, measuring ~ 0.3 - 0.5 um. They are obligate intracellular parasites (similar to chlamydia) in warm-blooded animals. Pathogens among these include R. rickettsii (Rocky Mountain Spotted Fever) and R. prowazekii (typhus fever). They are Gram-negative.
Domain Bacteria
Phylum Proteobacteria
Class α - Proteobacteria
Bergey's Manual Volume 2: The Proteobacteria