Microbial Diseases A to Z | Disease Home Page | Bio 406 Home Page | MicroWorld |
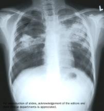
Tuberculosis is a chronic inflammatory disease whose damage to the body is mainly due to the type-IV hypersensitivity reaction provoked by the presence of Mycobacteria. Mycobacteria have the ability to enter into and survive inside macrophages, eventually causing these to lyse and a new cycle of infection to start. The immune system forms granulomas at the sites of infection, which can be seen in X-rays as distinct dense masses in the lungs. Activated macrophages are necessary to kill intracellular mycobacteria. Granulomas temporarily control the disease (latent TB) but the bacilli can reactivate later in life as immunity wanes (active TB). Multiple and extensive drug resistances in mycobacteria pose a very serious threat.
